
we believe that a healthy smile is the key to confidence and well-being. Our dedicated team of experienced dentists is committed to providing gentle, high-quality dental care in a comfortable and relaxing environment.
Call on : (+91) 703 073 5195
Mon to Sat 9:00AM to 9:00PM
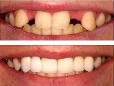
At Pearls 32 & You, we are dedicated to providing exceptional dental care with a patient-first approach. As a leading multispecialty dental clinic and implant center, we offer comprehensive oral healthcare solutions for all ages. From routine checkups to advanced dental implants, our team of expert dentists ensures painless, precise, and personalized treatments to give you a healthy, confident smile.
We are committed to sustainability. eco-friendly initiatives.
A painless procedure to remove infection and save your natural tooth.
Enhances your smile with whitening, veneers, and aesthetic corrections.
Transforming Smiles, Enhancing Lives Every Day.
Skilled professionals providing expert and compassionate dental care.
Tailored treatment plans designed to meet your unique dental needs.
Affordable dental care .
Quick and effective treatment for urgent dental problems.
Trusted by many for exceptional care and successful treatments.
Advanced dental equipment ensuring precise, painless, and efficient treatments.
We are committed to sustainability. eco-friendly initiatives.
We are committed to sustainability. eco-friendly initiatives.
Discover how routine dental visits help prevent major oral health issues and keep your smile healthy.
A detailed comparison of dental implants and bridges to help you choose the right tooth replacement option.
Debunking common misconceptions about teeth whitening and exploring safe, effective ways to achieve a radiant smile.
Comprehensive care tailored to your needs, combining advanced technology and expert hands to ensure a healthy, beautiful smile at every stage of life.
A personalized touch to your dentures to ensure comfort, natural appearance, and confidence in every smile.
A heartfelt celebration of International Day for Elderly People to honor wisdom, promote dignity, and recognize the invaluable contributions of our seniors.
An eye-opening look at dentures and the 10 most common misconceptions to help you separate fact from fiction and make informed decisions about your oral health.
A practical guide to the 10 best ways for maintaining good oral hygiene during pregnancy to support a healthy smile and a joyful start to the New Year.
10 best ways for good oral hygiene during pregnancy to welcome healthy New Year 2017
202,Space Cosmos Tower, above trophy house Center, Ashokstambh, Nashik
+(91) 0235 2314231
drabhijittambe24@gmail.com
Mon to Sat 9:00AM to 9:00PM